Çocuklarda Diş Estetiği Neden Önemlidir?Estetik diş hekimliği denildiğinde genellikle yetişkin uygulamaları akla gelir. Ancak diş estetiği, çocukluk döneminde de hem psikolojik hem de fonksiyonel açıdan büyük önem taşır.Çocuklarda erken dönemde oluşan diş renklenmeleri, çürükler veya diş formundaki bozukluklar yalnızca ağız sağlığını değil, özgüveni ve sosyal iletişimi de etkiler.Bu nedenle “çocuklarda estetik diş hekimliği” kavramı, sadece …
Çocuklarda Diş Estetiği Neden Önemlidir?
Estetik diş hekimliği denildiğinde genellikle yetişkin uygulamaları akla gelir. Ancak diş estetiği, çocukluk döneminde de hem psikolojik hem de fonksiyonel açıdan büyük önem taşır.
Çocuklarda erken dönemde oluşan diş renklenmeleri, çürükler veya diş formundaki bozukluklar yalnızca ağız sağlığını değil, özgüveni ve sosyal iletişimi de etkiler.
Bu nedenle “çocuklarda estetik diş hekimliği” kavramı, sadece güzellik değil, aynı zamanda koruyucu diş hekimliği anlayışını da içerir.
Erken yaşta yapılan küçük estetik müdahaleler, ilerleyen dönemde daha büyük tedavilere ihtiyaç duyulmasını önleyebilir.
Çocuklarda Estetik Diş Hekimliğinin Amacı
- Süt dişlerinin sağlığını korumak
- Kalıcı dişlerin düzgün çıkmasını sağlamak
- Gülüş estetiğini ve ağız fonksiyonlarını geliştirmek
- Psikolojik olarak çocuğun özgüvenini artırmak
- İleride oluşabilecek çene ve diş bozukluklarını önlemek
Bu amaç doğrultusunda uygulanan her tedavi, çocukların gelişim süreci dikkate alınarak planlanır.
Süt Dişlerinde Estetik Tedaviler
Süt dişleri, kalıcı dişlerin rehberidir. Bu nedenle estetik açıdan önemsiz görülmemelidir.
Süt dişlerinde oluşan çürükler veya kırıklar hem estetik kaygı yaratır hem de kalıcı dişlerin çıkışını olumsuz etkiler.
Başlıca uygulamalar:
1. Estetik Kompozit Dolgular
Diş rengine uygun materyallerle yapılan dolgulardır.
Hem çürük temizlenir hem de dişin doğal formu korunur.
Özellikle ön dişlerde estetik görünüm açısından idealdir.
2. Cam İyonomer Dolgular
Flor salınımı yaparak dişi çürüğe karşı korur.
Süt dişlerinde hem koruyucu hem de estetik açıdan sık tercih edilir.
3. Zirkonyum veya Kompozit Kronlar
Kırılmış veya aşırı madde kaybı olan dişlerde uygulanır.
Metal içermez, beyaz renkli olduğu için doğal diş görünümüne sahiptir.
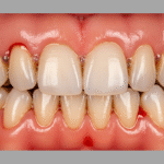
Diş Renklenmeleri ve Lekelenmeler
Çocuklarda renklenme genellikle antibiyotik kullanımı, flor fazlalığı veya çürük başlangıcı nedeniyle görülür.
Bu durum, estetik kaygıların yanı sıra çocuğun dişlerini fırçalamaktan kaçınmasına da yol açabilir.
Tedavi seçenekleri:
- Mikroabrazyon: Yüzeysel mine lekeleri özel jellerle temizlenir.
- Profesyonel diş temizliği: Diş taşı veya plak kaynaklı renklenmeler giderilir.
- Çocuklara özel beyazlatma işlemleri: Hafif jellerle, mine dokusuna zarar vermeden uygulanabilir.
Bu işlemler çocuk yaş grubuna uygun düşük yoğunluklu materyallerle gerçekleştirilir.
Diş Travmaları ve Kırıklar
Çocukluk döneminde düşme veya çarpma sonucu diş kırıkları sık görülür.
Özellikle ön dişlerde oluşan bu durum, estetik açıdan belirgin bir fark yaratır.
Uygulanabilecek çözümler:
- Kompozit onarım: Kırık parça yoksa diş rengine uygun kompozit materyalle diş tamamlanır.
- Parça re-attachment: Kırılan parça saklandıysa, yerine yapıştırılabilir.
- Geçici estetik kaplamalar: Geniş kırıklarda uygulanır, kalıcı diş gelene kadar estetik sağlar.
Erken müdahale, hem estetik hem de fonksiyonel açıdan kalıcı hasarı önler.
Diş Eti ve Gülüş Hattı Düzensizlikleri
Sadece dişlerin değil, diş etlerinin formu da çocuklarda gülüş estetiğini etkiler.
Bazı çocuklarda genetik veya alışkanlık kaynaklı diş eti büyümeleri görülebilir.
Bu durumda:
- Lazerle diş eti şekillendirme
- Pembe estetik uygulamaları
- Ortodontik yönlendirmeyle diş eti uyumu sağlama
gibi minimal işlemlerle estetik görünüm düzeltilir.
Çocuklarda Ortodontik Erken Müdahale
Estetik diş hekimliği yalnızca diş rengini veya şeklini değil, dizilimi ve kapanışı da içerir.
Çocuklarda çene gelişimi tamamlanmadan yapılan ortodontik yönlendirmeler, hem estetik hem de fonksiyonel avantaj sağlar.
Erken müdahaleyle düzeltilebilecek durumlar:
- Çapraşık diş dizilimi
- Alt-üst çene dengesizliği
- Önde kapanış (overjet)
- Açık kapanış (open bite)
Erken dönemde hareketli apareylerle yapılan basit tedaviler, ilerleyen yaşta sabit diş teli ihtiyacını azaltır.
Koruyucu Estetik Uygulamalar
Koruyucu diş hekimliği, estetik bozulmaların önüne geçmenin en etkili yoludur.
Uygulamalar:
- Fissür Örtücü: Azı dişlerinin çiğneme yüzeyini korur, çürük oluşumunu engeller.
- Flor Uygulaması: Diş minesini güçlendirir, renklenmeyi azaltır.
- Diş Temizliği ve Parlatma: Diş yüzeyindeki bakteriyel tabakayı ortadan kaldırır.
Bu uygulamalar, hem dişlerin sağlığını hem de estetik görünümünü korur.
Çocuklarda Gülüş Tasarımı
Gülüş tasarımı çocuklarda minimal düzeyde uygulanır.
Amaç, dişlerin doğal görünümünü desteklemek ve psikolojik olarak çocuğu motive etmektir.
Pedodonti ve estetik diş hekimliği birlikte çalışarak şu uygulamaları planlar:
- Diş rengi ve formu analizi
- Diş eti çizgisi düzeltmesi
- Diş uzunluğu oranlaması
- Gülüş hattı dengeleme
Erken yaşta yapılan bu düzenlemeler, ilerleyen yıllarda diş estetiği ihtiyacını minimuma indirir.
Çocuklarda Estetik Tedavi Sonrası Bakım
Estetik işlemlerden sonra bakım, tedavinin kalıcılığı açısından önemlidir.
- Dişler günde iki kez yumuşak fırçayla temizlenmelidir.
- Şekerli ve yapışkan gıdalar sınırlandırılmalıdır.
- 6 ayda bir pedodonti kontrolü yapılmalıdır.
- Flor ve fissür örtücü kontrolleri düzenli yapılmalıdır.
Ebeveynlerin bu süreçte bilinçli olması, estetik tedavilerin uzun ömürlü olmasını sağlar.
Çocuklarda Estetik Diş Hekimliğinin Faydaları
- Özgüven Artışı: Gülüşünü saklama ihtiyacı azalır.
- Daha Sağlıklı Ağız Yapısı: Erken tedaviyle çürük ve diş kaybı riski düşer.
- Kalıcı Dişler İçin Sağlıklı Zemin: Süt dişlerinin korunması, kalıcı dişlerin düzenli çıkışını destekler.
- Psikolojik Rahatlık: Diş görünümü konusunda kaygı yaşayan çocuklarda olumlu etki yaratır.
Bu faktörler, çocuğun sosyal yaşamında ve okul başarısında dahi fark yaratabilir.
Çocuklarda estetik diş hekimliği, sadece dişlerin görünümünü değil, genel ağız sağlığını ve özgüveni de şekillendirir.
Erken yaşta yapılan doğru müdahaleler, ileride daha karmaşık tedavilere ihtiyaç duyulmasını engeller.
Orident Clinic’te çocuklara özel planlanan estetik uygulamalar, hem sağlıklı hem de doğal bir gülüş için güvenli bir temel oluşturur.
Sıkça Sorulan Sorular SSS
1. Çocuklarda diş beyazlatma yapılır mı?
Evet, ancak yalnızca yüzeysel renklenmelerde, düşük yoğunluklu özel jellerle uygulanır.
2. Süt dişine estetik dolgu yapılır mı?
Evet, kompozit ve cam iyonomer dolgular hem estetik hem koruyucu etki sağlar.
3. Lazerle diş eti şekillendirme çocuklara yapılabilir mi?
Evet, minimal dokunuşlarla ağrısız bir şekilde yapılabilir.
4. Çocuklarda ortodontik tedaviye kaç yaşında başlanmalı?
Genellikle 6–7 yaş civarında ilk kontrol yapılmalıdır.
Book a Consultation
It’s easy and free!



