Diş eti hastalıkları, dişleri çevreleyen yumuşak dokuların ve destek kemik yapısının iltihaplanmasıyla ortaya çıkan enfeksiyonlardır.En yaygın iki türü:Gingivitis (Diş Eti İltihabı):Erken evre hastalıktır. Diş etlerinde kızarıklık, hassasiyet ve kanama görülür.Periodontitis:Tedavi edilmeyen gingivitis ilerleyerek diş köklerini tutan kemik dokusuna zarar verir.Diş eti çekilmesi, diş sallanması ve diş kayıpları bu evrede görülür. Diş Eti Hastalıklarının BelirtileriDiş …
Diş eti hastalıkları, dişleri çevreleyen yumuşak dokuların ve destek kemik yapısının iltihaplanmasıyla ortaya çıkan enfeksiyonlardır.
En yaygın iki türü:
- Gingivitis (Diş Eti İltihabı):
Erken evre hastalıktır. Diş etlerinde kızarıklık, hassasiyet ve kanama görülür. - Periodontitis:
Tedavi edilmeyen gingivitis ilerleyerek diş köklerini tutan kemik dokusuna zarar verir.
Diş eti çekilmesi, diş sallanması ve diş kayıpları bu evrede görülür.
Diş Eti Hastalıklarının Belirtileri
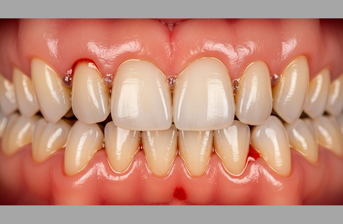
- Diş fırçalarken veya diş ipi kullanırken kanama
- Sürekli ağız kokusu
- Diş etlerinde şişlik ve kızarıklık
- Diş eti çekilmesi
- Dişlerde aralanma veya uzama hissi
- Soğuk-sıcak hassasiyeti
Bu belirtiler göz ardı edildiğinde hastalık sessizce ilerler ve estetik açıdan fark edilir bozulmalar oluşur.
Diş Eti Hastalıkları Estetik Gülüşü Nasıl Bozar?
Sağlıksız diş etleri, gülüşün genel simetrisini ve estetiğini ciddi şekilde etkiler.
Estetik gülüşte dişlerin görünme oranı, dudak hattı ve diş eti çizgisi büyük önem taşır.
Başlıca estetik sorunlar:
- Diş eti çekilmesi: Diş boyları uzamış görünür.
- Diş eti büyümesi: “Gummy smile” yani diş etinin fazla göründüğü gülüş oluşur.
- Renk değişimi: Sağlıksız diş eti kırmızı, mor veya koyu renk alır.
- Dengesiz diş eti hattı: Gülüş simetrisi bozulur.
Bu estetik bozulmalar, kişide özgüven kaybına ve gülümsemekten kaçınmaya neden olabilir.
Periodontal Tedavi Nedir?
Periodontal tedavi, diş etlerinin sağlığını yeniden kazandırmayı hedefleyen profesyonel bir diş hekimliği alanıdır.
Tedavi, hastalığın evresine göre farklı yöntemlerle uygulanır:
1. Detertraj (Diş Taşı Temizliği)
Erken evrede diş taşı ve plakların uzaklaştırılmasıyla diş eti dokusu yeniden sağlığına kavuşur.
Bu işlem lokal anestezi gerektirmez ve genellikle tek seansta tamamlanır.
2. Kök Yüzeyi Düzleştirme (Derin Temizlik)
Plak ve bakterilerin diş eti altındaki kök yüzeyine işlediği durumlarda uygulanır.
Küretaj olarak da bilinir. Diş eti altı enfekte dokular temizlenir ve kök yüzeyi pürüzsüz hâle getirilir.
3. Periodontal Cerrahi
İleri vakalarda diş etleri kaldırılarak enfekte bölgeye doğrudan ulaşılır.
Gerekiyorsa kemik dokusuna rejeneratif materyaller eklenir.
4. Pembe Estetik (Diş Eti Şekillendirme)
Tedavi sonrası diş eti formu lazer veya bistüri ile yeniden şekillendirilir.
Bu işlem estetik gülüş tasarımının bir parçasıdır.
Pembe Estetik Uygulamaları
Gülüş estetiğinde “beyaz estetik” dişleri, “pembe estetik” ise diş etlerini kapsar.
Pembe estetik uygulamalarıyla diş eti hattı yeniden simetrik hâle getirilir.
Uygulama alanları:
- Diş eti seviyelerinin eşitlenmesi
- Gummy smile düzeltmesi
- Diş eti renginin açılması
- Diş boy oranlarının düzenlenmesi
Lazerle yapılan işlemler minimal invazivdir; ağrısız, hızlı ve kanamasız gerçekleşir.
Diş Eti Çekilmesi Nasıl Tedavi Edilir?
Diş eti çekilmesi, genellikle periodontitis sonucu veya travmatik fırçalama nedeniyle oluşur.
Tedavi yöntemi, çekilmenin derinliğine göre belirlenir:
- Yüzeysel çekilmelerde: Diş eti grefti gerekmeden kök yüzeyi temizlenir.
- İleri çekilmelerde: Damaktan alınan doku greftiyle çekilen bölge kapatılır.
Bu işlem estetik açıdan büyük fark yaratır; diş boyu kısalır, kök yüzeyi kapanır ve gülüş simetrisi geri kazanılır.
Periodontal Tedavinin Estetik Etkileri
Diş eti tedavisi yalnızca sağlık için değil, gülüşün bütünlüğü için de gereklidir.
Tedavi sonrası:
- Diş eti hattı eşitlenir.
- Diş etlerinin rengi pembe ve canlı görünür.
- Diş boyları doğal oranına döner.
- Diş araları kapanır, simetri artar.
Bu değişim, özellikle gülüş tasarımı veya lamina veneer işlemleri öncesinde büyük önem taşır.
Sağlıksız diş etlerine yapılan estetik işlemler kalıcı olmaz.
Periodontal Tedavi Süreci
- Muayene ve Teşhis: Diş eti cepleri ölçülür, röntgen alınır.
- Temizlik ve Bakteri Kontrolü: Diş taşı, plak ve enfekte doku temizlenir.
- Cerrahi Gerekiyorsa Uygulama: Gelişmiş vakalarda cerrahi müdahale planlanır.
- Takip ve Kontrol: 3–6 ay aralıklarla kontrol yapılır.
Tedavi, ortalama 1–4 seans sürebilir.
Erken dönemde yapılan müdahalelerle diş kaybı riski ortadan kalkar.
Tedavi Sonrası Dikkat Edilmesi Gerekenler
- İlk 24 saat sıcak yiyeceklerden kaçınılmalıdır.
- Dişler yumuşak fırçayla nazikçe temizlenmelidir.
- Tuzlu su gargarası önerilir.
- Sigara ve alkol, iyileşmeyi olumsuz etkiler.
- Düzenli diş hekimi kontrolleri aksatılmamalıdır.
Bu öneriler, diş etinin yeniden sağlıklı formuna dönmesini hızlandırır.
Diş Eti Hastalıklarından Korunma Yöntemleri
- Dişler günde iki kez, diş etine zarar vermeyecek şekilde fırçalanmalı.
- Diş ipi ve arayüz fırçası kullanılmalı.
- 6 ayda bir diş hekimi kontrolü yapılmalı.
- Aşırı sert fırça ve bastırarak fırçalamaktan kaçınılmalı.
- Sigara kullanımı sınırlandırılmalı.
Bu basit önlemlerle diş eti sağlığı uzun vadede korunabilir.
Periodontal Tedavinin Kalıcılığı
Tedavi sonrasında düzenli bakım yapan bireylerde diş eti sağlığı uzun yıllar korunur.
Ancak sigara kullanımı, kötü ağız hijyeni ve kontrol randevularının aksatılması durumunda hastalık tekrar edebilir.
Periodontal tedavi, estetik gülüş tasarımının temel basamağıdır.
Sağlıklı diş etleri olmadan yapılan beyazlatma, kaplama veya lamina işlemleri istenen sonucu vermez.
Diş eti hastalıkları yalnızca ağız sağlığını değil, estetik görünümü de doğrudan etkiler.
Periodontal tedavi sayesinde diş etleri yeniden sağlığına kavuşur, gülüş simetrisi ve doğallığı geri kazanılır.
Estetik gülüş tasarımına başlamadan önce mutlaka diş eti sağlığı kontrol edilmelidir.
Bu, uzun ömürlü, doğal ve etkileyici bir gülüşün en önemli adımıdır.
Sıkça Sorulan Sorular (SSS)
1. Diş eti hastalıkları sadece ağız sağlığını mı etkiler?
Hayır. Diş eti hastalıkları yalnızca ağız sağlığını değil, gülüş estetiğini, konuşmayı ve özgüveni de etkiler. İleri dönem periodontitis, diş kaybına ve yüz estetiğinde bozulmalara yol açabilir.
2. Gingivitis evresindeki hastalık geri döner mi?
Evet. Gingivitis erken dönemde fark edilirse tamamen tedavi edilebilen bir hastalıktır. Düzenli diş taşı temizliği, doğru fırçalama ve diş ipi kullanımıyla diş etleri tekrar pembe ve sağlıklı hâle döner.
3. Diş eti çekilmesi herkeste cerrahi gerektirir mi?
Hayır. Yüzeysel çekilmelerde yalnızca derin temizlik (kök yüzeyi düzleştirme) yeterli olabilir. Geniş ve belirgin çekilmelerde ise diş eti grefti uygulanarak estetik görünüm düzeltilir.
4. Pembe estetik işlemleri ağrılı mıdır?
Genellikle hayır. Lazerle yapılan pembe estetik uygulamaları minimal invazivdir; işlem sırasında ağrı çok azdır veya hiç hissedilmez. İşlem sonrası iyileşme süreci hızlıdır ve günlük hayata hemen dönülebilir.
5. Periodontal tedavinin kalıcılığı neye bağlıdır?
Tedavinin kalıcılığı, kişinin ağız bakım alışkanlıklarına ve düzenli diş hekimi kontrollerine bağlıdır. Sigara kullanımı, düzensiz fırçalama ve kontrollerin aksatılması hastalığın yeniden başlamasına neden olabilir.
Book a Consultation
It’s easy and free!



